Skip to content

Лабораторія біомедичної інженерії ДУ "ІТО НАМНУ"

Графік роботи - Понеділок- П'ятниця - 9:00-16:00

Лабораторія біомедичної інженерії
Location Бульварно-Кудрявська, 27. Київ. УкраїнаPhone +380675010661
Контакти
  • Головна
  • Про насExpand
    • Історія
    • Наша команда
    • Faq
    • Page not found
  • ПацієнтамExpand
    • Коригуючі остеотомії
    • Індивідуальне ендопротезування
    • Ревізійне ендопротезування
    • Складне ревізійне ендопротезування
    • Індивідуальний остеосинтез
    • Онкотравматологія
  • Новини
  • Блог
  • Галерея
  • Контакти
Search
Лабораторія біомедичної інженерії

Перспективи використання адитивних технологій …

Home / Перспективи використання адитивних технологій …

Перспективи використання адитивних технологій у лікуванні дефектів кісткової тканини колінного суглоба, що виникли внаслідок дестабілізаціїї ендопротеза, онкозахворювань та військової травми

Лабораторія біомедичної інженерії

У переважній більшості випадків при лікуванні ускладнень ТЕП КС вдаються до ревізійного ендопротезування,  яке є більш травматичним, дорогим, має більшу кількість ускладнень, ніж первинне ендопротезування, і не завжди приносить хороші результати [Mont M.A., Serna F.K., Krackow K.A., 1996]. Середня вартість імплантатів,  які використовуються при ревізійному ендопротезуванні, збільшується на 18-24 % [R.L. Barrack , 2002], час виконання ревізійного втручання – в середньому на 41 % в порівнянні з первинною операцією [Ritter M.A., Carr K.D., Keating E.M, 2006]. Загальна вартість лікування пацієнта з асептичної нестабільністю імплантату зростає на 24-100 %, а при інфекційних ускладненнях – в 3 рази [Hebert C.K., 2006].

У той же час не  дивлячись  на велику кількість ревізійних операцій при нестабільності компонентів ендопротеза колінного суглоба , до 100 тисяч в рік в світі, покази до них визначаються доволі емпірично [Вирва О.Є.,2008р.,   Зазірний І.М.,2011 р. ]. Не визначено групи ризику виникнення ускладнень та ранніх ознак нестабільності ендопротеза, руйнування компонентів діагностується на запущених стадіях з наявними значними дефектами кісткової тканини.

МЕТА ДОСЛІДЖЕННЯ

Визначити групи ризикущо до  ускладненя тотального ендопротезування колінного суглоба з метою покращення результатів як первинного так і ревізійного протезування

Матеріали та методи

На базі клініки ортопедії та травматології дорослих за період з 2010 по 2021 роки виконано 438  первинних ендопротезувань колінного суглоба, та 85 ревізійних ендопротезувань

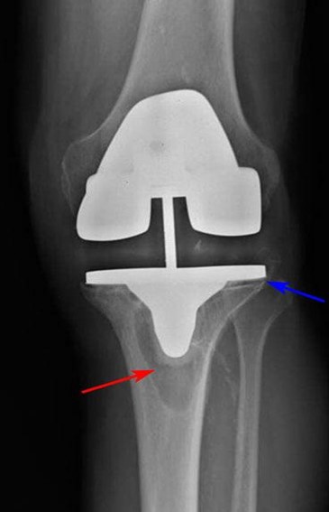
В своїй роботі ми користувалися класифікацією кісткових дефектів ложе нестабільного протеза колінного суглоба за AORI (Anderson Orthopaedic Research Institute, USA), 1997 де автори виділяють 3 типа кісткових дефектів

Тип 1 – інтактна кістка (intact metaphysealbone) – невеликі кісткові дефекти, зазвичай без пошкодження кортикальної кістки. Характеризується нормальною кісткової структурою і збереженням губчастої і кортикальної кістки метафиза, нормальним рівнем суглобової лінії. позначаються як F1 – для стегнової кістки і Т1 – для великогомілкової.

Тип 2 – пошкоджена кістка (damаged metaphyseal bone) – характеризується втратою губчастої і кортикальної кісткової маси метаепіфізів, без заповнення якої неможливе створення надійної опори для компонентів ревізійного імплантату і відновлення анатомічного рівня суглобової лінії. (F2 А та F2 Б – для стегнової і Т2 А та Т2 Б – для великогомілкової кісток)

Тип 3 – дефіцит кістки (deficient metaphyseal segment) – характеризується вираженою втратою губчастої і кортикальної кісткової маси метаепіфіза, без компенсації якої неможливе створення опори для компонентів ревізіційного імплантату і відновлення нормального рівня суглобової лінії. Дефекти частіше поширюються до надвиростків і вище на стегнової кістці або до горбистості  і нижче на великогомілковій кістці. (F3 А та F3 Б – для стегнової і Т3 А та Т3 Б– для великогомілкової кісток)

Розподіл кісткових дефектів ложе нестабільного протеза колінного суглоба

Переважали хворі з дефектами 2 типу, які склали 61 % від загальної кількості кісткових дефектів

У всіх випадках септична нестабільність наступила на протязі року. Післяопераційний  період у цих пацієнтів ускладнювався гемартрозами та синовіїтами

Порівняння груп хворих

Результати та їх обговорення.             

Серед чинників які пов`язані з самим пацієнтом переважали (60%) пацієнти з індексом маси тіла більше 35, що відповідає за рекомендаціями ВОЗ II та більше стадії ожиріння, 40 % (4 випадки) склали особи які відмічали травму колінного суглоба в післяопераційному періоді

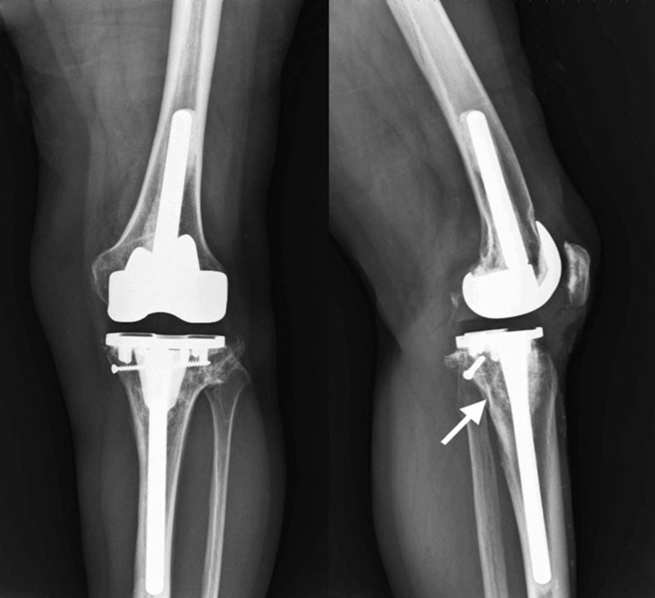
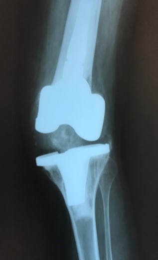
Приклад 1. Хвора Б. 52 років. Діагноз: Ревматоидній Деформівний IVст. гонартроз, вальгусна деформація колінногосуглоба.  Нестабільність та руйнування компонентів ендопротеза. Хворій виконано ревізійне ендопротезування: видалення компонентів ендопротезу, виявлений дефект латерального  виростку великогомілкової кістки тип Т3А за класифікацією АОRI [G.A. Engh, C.H. Rorabeck, 1997]. Під час операції виконана кісткова пластика дефекту латерального виростка лівої великогомілкової кістки. Використаний ендопротез колінного суглоба з подовжувачами .

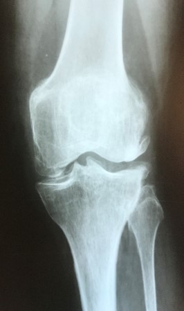
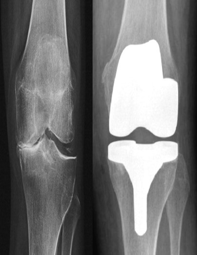
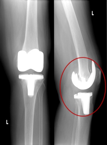
Приклад 2. Хвора  М. 68 років. Діагноз: лівобічний деформівний IVст. гонартроз, стан після ТЕП лівого КС (2014р.). Під час виконання оперативного втручання компоненти ендопротезу встановлені в варусному положенні. Асептична нестабільність компонентів ендопротеза, тотальна  нестабільність зв’язкового апарату компонентів колінного суглоба (2017 р.)  Хворій виконано ревізійне ендопротезування: видалення компонентів ендопротезу, виявлений дефект виростку великогомілкової кістки тип Т2А за класифікацією АОRI [G.A. Engh, C.H. Rorabeck, 1997]. Враховуючи стан зв’язкового апарату використаний зв’язаний ендопротез типу Hinch.

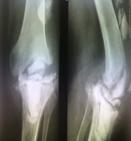
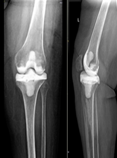
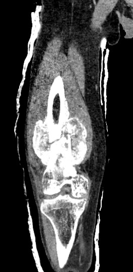
Приклад 3. Хвора К. 52 років. Діагноз: Деформівний IVст. гонартроз, стан після ТЕП лівого КС (2013р.). ІМТ хворої складає 35 балів. Асептична нестабільність компонентів ендопротеза лівого колінного суглоба, міграція великогомілкового компоненту (2017 р.) (рис. 2 а). Хворій виконано ревізійне ендопротезування: видалення компонентів ендопротезу, виявлений дефект медіального виростку великогомілкової кістки тип Т3А за класифікацією АОRI [G.A. Engh, C.H. Rorabeck, 1997]. Під час операції виконана кісткова пластика дефекту. Використаний ендопротез колінного суглоба з подовжувачами.

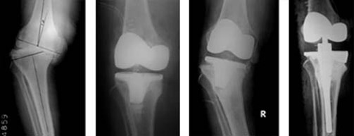
Приклад 4. Хвора Г. 72 років. Діагноз: Деформівний IV ст. гонартроз, стан після ТЕП КС (2010р.). Гемартроз в післяопераційному періоді, хронічний синовііт.Септична нестабільність компонентів ендопротеза  колінного суглоба на протязі року. Виявлений дефект виростків стегнової кістки  тип Т3, F 3 за класифікацією АОRI [G.A. Engh, C.H. Rorabeck, 1997]. Хворій виконано  двоєтапне ревізійне ендопротезування: видалення компонентів ендопротезу іплантовано спейсер з антибіотиком. Піcля санаціїї виконано другий єтап певізії, імплантовано ревізійний ендопротез колінного суглоба.

МЕТОЮ СТВОРЕННЯ ЛАБОРАТОРІЇ БІОМЕДИЧНОЇ ІНЖЕНЕРІЇ БУЛА САМЕ ІНЖЕНЕРНА ПІДТРИМКА НАУКОВОГО НАПРАВЛЕННЯ РОЗВИТКУ СКЛАДНОГО, РЕВІЗІЙНОГО ТА ОНКОЛОГІЧНОГО ЕНДОПРОТЕЗУВАННЯ, ЛІКУВАННЯ ДЕФЕКТІВ КІСТОК ПІД ЧАС ВІЙСЬКОВОГО ЧАСУ

Технології відновлення кісткової тканини у хворих з наслідками бойової травми


Етапи проектування онкопротезування

Хворий Г.58 остеосаркома стегнової кістки

Проектування та виготовлення індивідуальних аугментів для заміщення  дефектів суглобів: М, 48р, асептична нестабільність онкологічного ендопротеза . Заміщення дефекту індивідуальним аугментом та ревізійним ендопротезом , фіксація БІС, ПММА

Висновки

1. Визначені наступні ускладненнями первинного ендопротезування колінного суглоба, що виникли на протязі 10 років після ендопротезування:

  • асептична нестабільність компонентів 16 %,
  • тугорухоміть в протезованному колінному суглобі 25%,
  • нестабільність зв’язкового апарата колінного суглоба 8 %,
  • септична нестабільність компонентів ендопротеза 3.6 %,
  • руйнування компонентів ендопротеза 2 %,
  • пошкодження судин, нервів, м’язів 3 %.

Серед чинників які приводять до виникнення ускладнень ТЕП КС. виділяється ускладнення пов`язані з самим оперативним втручанням (40%). До них відносили виконання ТЕП КС не по показам (молоді люди з 3 ст. гонартрозу), невірне розташування компонентів едопротезу (варусне або вальгусне положення)

Ускладнення зв`язані з самим пацієнтом склали 20% (травми прооперованого суглоба, індекс маси тіла більше 30). Поєднання цих чинників спостерігали у 30% обстежених хворих, і тільки у 10% випадків причину виникнення ускладнень не виявлено.

2. Cептичні ускладненя склали 10 відсотків та у всіх випадках супроводжувались післяопераційнима  гемартрозом та ускладненням загоення рани.

3. Проведене дослідження ще раз доводить роль ятрогенного фактору, травм та перенавантаження на прооперований колінний суглоб в розвитку післяопераційних ускладнень після виконання ТЕП КС, а ця проблема потребує подальших клінічних досліджень та розробки технологій ревізійного ендопротезування колінного суглоба.

Коригуючі остеотомії

Індивідуальне ендопротезування

Ревізійне ендопротезування

Складне ревізійне ендопротезування

Індивідуальний остеосинтез

Онкотравматологія

Лабораторія біомедичної інженерії ДУ "Інститут Травматології та Ортопедії НАМН України"

Знайти нас на мапі
YouTube Facebook Instagram Telegram WhatsApp

Пацієнтам

  • Коригуючі остеотомії
  • Індивідуальне ендопротезування
  • Ревізійне ендопротезування
  • Складне ревізійне ендопротезування
  • Індивідуальний остеосинтез
  • Онкотравматологія

Контакти

  • Бульварно-Кудрявська, 27, Київ, 01054, Україна
  • Чеховський провулок, 7, Київ, 01054, Україна
  • +38 (050) 077-11-58
  • +38 (067) 501-06-61
  • Понеділок- П'ятниця - 9:00-16:00
  • sulymaoleksii@gmail.com

Copyright © 2025 All Rights Reserved | Created By EITIS. LLC

Для співпраці +38 (097) 445 87 57     

Scroll to top
  • Головна
  • Про нас
    • Історія
    • Наша команда
    • Faq
    • Page not found
  • Пацієнтам
    • Коригуючі остеотомії
    • Індивідуальне ендопротезування
    • Ревізійне ендопротезування
    • Складне ревізійне ендопротезування
    • Індивідуальний остеосинтез
    • Онкотравматологія
  • Новини
  • Блог
  • Галерея
  • Контакти
Search
We use cookies to ensure that we give you the best experience on our website. If you continue to use this site we will assume that you are happy with it.